Neurosurgeon probing patient’s mystery symptoms plucks worm from woman’s brain in Australia

Doctors removed a worm "still alive and wiggling" from a woman's brain. (Credit: Australian National University via Storyful)

A neurosurgeon investigating a woman’s mystery symptoms in an Australian hospital says she plucked a wriggling worm from the patient’s brain.

Surgeon Hari Priya Bandi was performing a biopsy through a hole in the 64-year-old patient’s skull at Canberra Hospital last year when she used forceps to pull out the parasite, which measured 8 centimeters, or 3 inches.

"I just thought: ‘What is that? It doesn’t make any sense. But it’s alive and moving,’" Bandi was quoted Tuesday in The Canberra Times newspaper.

"It continued to move with vigor. We all felt a bit sick," Bandi added of her operating team.

Worm-found-in-woman.jpg

Doctors removed a worm "still alive and wiggling" from a woman's brain. (Credit: Australian National University via Storyful)

The creature was the larva of an Australian native roundworm not previously known to be a human parasite, named Ophidascaris robertsi. The worms are commonly found in carpet pythons.

Bandi and Canberra infectious diseases physician Sanjaya Senanayake are authors of an article about the extraordinary medical case published in the latest edition of the journal Emerging Infectious Diseases.

Senanayake said he was on duty at the hospital in June last year when the worm was found.

"I got a call saying: ‘We’ve got a patient with an infection problem. We’ve just removed a live worm from this patient’s brain,’" Senanayake said.

Worm-found-inside-woman.jpg

Doctors removed a worm "still alive and wiggling" from a woman's brain. (Credit: Australian National University via Storyful)

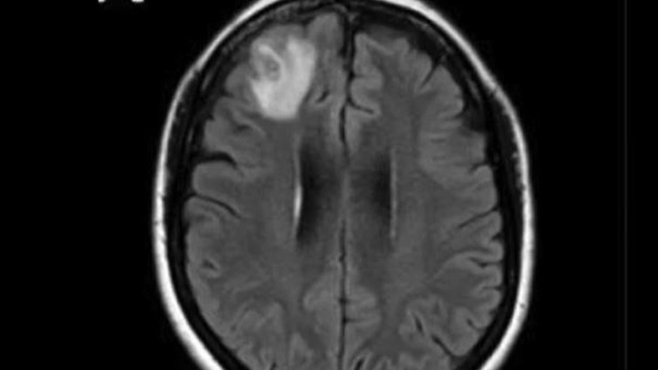
The woman had been admitted to the hospital after experiencing forgetfulness and worsening depression over three months. Scans showed changes in her brain.

A year earlier, she had been admitted to her local hospital in southeast New South Wales state with symptoms including abdominal pain, diarrhea, a dry cough and night sweats.

Senanayake said the brain biopsy was expected to reveal a cancer or an abscess.

"This patient had been treated ... for what was a mystery illness that we thought ultimately was a immunological condition because we hadn’t been able to find a parasite before and then out of nowhere, this big lump appeared in the frontal part of her brain," Senanayake said.

"Suddenly, with her (Bandi’s) forceps, she’s picking up this thing that’s wriggling. She and everyone in that operating theater were absolutely stunned," Senanayake added.

Bandi said her patient regained conscious after the worm was extracted without any negative consequences.

Worm-found-in-woman-IV.jpg

Doctors removed a worm "still alive and wiggling" from a woman's brain. (Credit: Australian National University via Storyful)

"She was so grateful to have an answer for what had been causing her trouble for so very long," Bandi said.

Six months after the worm was removed, the patient’s neuropsychiatric symptoms had improved but persisted, the journal article said.

The patient had been sent home soon after the surgery with antiparasitic drugs and had not returned to hospital since, Senanayake said. "She’s done OK, but obviously because this is a new infection, we’re keeping a close eye on her," Senanayake told Ten Network television.

The worms’ eggs are commonly shed in snake droppings which contaminate grass eaten by small mammals. The life cycle continues as other snakes eat the mammals.

The woman lives near a carpet python habitat and forages for native vegetation called warrigal greens to cook.

While she had no direct contact with snakes, scientists hypothesize that she consumed the eggs from the vegetation or her contaminated hands.

UnusualHealth