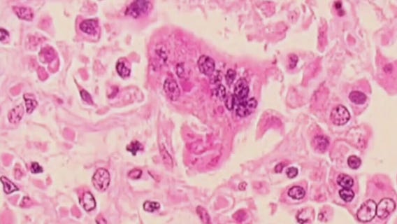
Texas Measles outbreak 2025: Four new cases reported in latest update
The state reported four newly identified cases since the previous update on Friday.
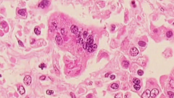
Texas Measles Outbreak: State only reports 1 new case in latest update
Since late January, 718 measles cases connected to an outbreak in West Texas have been confirmed by state health officials.
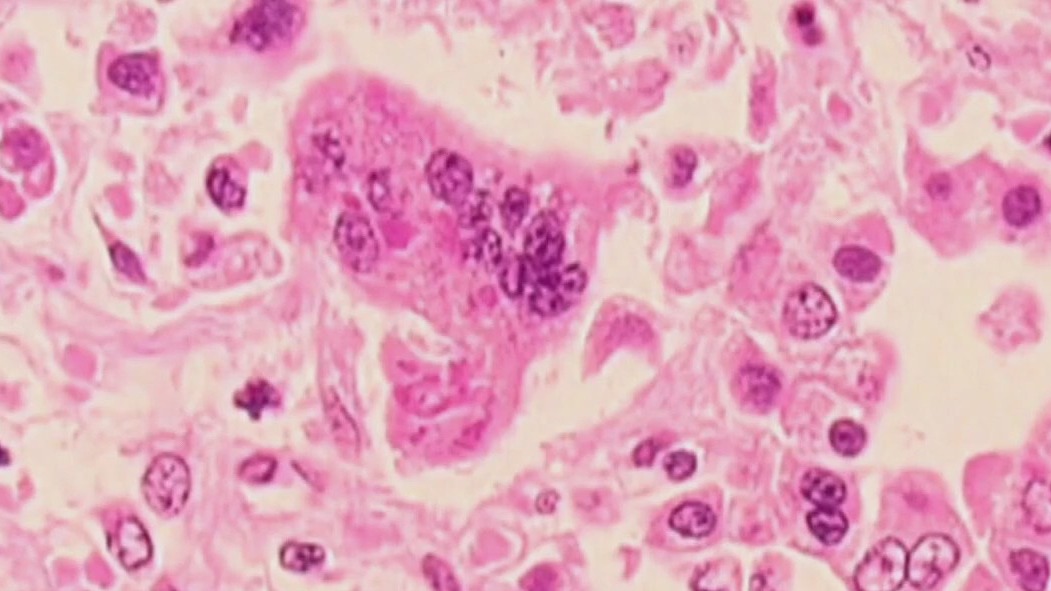
Texas measles outbreak: Outbreak spreads to 3 new counties in latest update
State health officials on Tuesday said the number of measles cases in the state linked to a West Texas outbreak has grown to 717 since January.
Texas measles outbreak: Spread appears to slow in West Texas
Two children have died, and 92 people have been hospitalized with measles since the start of the outbreak in late January, according to Texas health officials.
Measles in Texas: Possible exposure in Gillespie County from infected El Paso resident
Gillespie County health officials are warning residents about a possible measles exposure in Fredericksburg from an infected El Paso resident in late April.
Measles outbreak spreads to 11th state: The latest
Measles outbreaks have hit 11 U.S. states, with cases now exceeding 900. Here’s what we know.
New possible measles exposure in Austin
An El Paso resident infected with measles traveled to Austin at the end of April. Now, Austin Public Health is warning people who may have been exposed to the virus.
Measles in Texas: El Paso resident with virus travels to Austin
An El Paso resident infected with measles traveled to Austin at the end of April. Now, Austin Public Health is warning people who may have been exposed to the virus.
Texas measles outbreak 2025: Cases surpass 700 since January
State health officials on Tuesday said the number of measles cases in the state linked to a West Texas outbreak has grown to 702 since January.
Texas measles outbreak 2025: Nearly 700 cases reported since January
New cases in Denton County and Travis County were not connected to the outbreak, according to officials.
Texas measles outbreak 2025: 17 new cases reported
State health officials on Tuesday said the number of measles cases in the state linked to a West Texas outbreak has grown to 663 since January.
Measles case in Travis County
A second case of measles has been detected in Travis County. City and county officials are urging residents to be vaccinated against the virus.
FULL: Austin-Travis Co. officials speak on measles
Public health and elected officials are providing updates for Austin-Travis County on measles, including information on the second case in Travis County, the response, and the current situation in the state.
Measles in Austin-Travis County: Officials give update
A second case of measles has been detected in Travis County. City and county officials are urging residents to be vaccinated against the virus.
Texas measles outbreak 2025: Cases climb to 646 since January
State health officials on Friday said the number of measles cases in the state linked to a West Texas outbreak has grown to 646 since January.
Second measles case reported in Travis County
Another measles case is being investigated in Travis County.
Measles in Texas: Second case reported in Travis County
Another measles case is being investigated in Travis County.
Measles outbreak spreading throughout U.S.
More measles cases are being reported throughout the country and the outbreak, which has been concentrated in West Texas, is now moving into the Midwest. FOX's Jonathan Serrie has the latest.
RFK Jr. puts support behind MMR vaccine amid outbreak
Health and Human Services Secretary Robert F. Kennedy Jr. made a trip to Texas on Sunday to attend the funeral of an 8-year-old girl who died of measles. After the funeral, Kennedy threw his support behind the MMR vaccine.
RFK Jr. attends funeral for Texas child who died of measles
Health and Human Services Secretary Robert F. Kennedy Jr. made a trip to Texas on Sunday to attend the funeral of an 8-year-old girl who died of measles. In a post on social media, Kennedy said the best way to prevent the spread of measles in the MMR vaccine.

















