'The Eyes of Texas' has “no racist intent,” according to report
A comprehensive report from a committee tasked to look at the University of Texas at Austin's alma mater song has been released.
A comprehensive report from a committee tasked to look at the University of Texas at Austin's alma mater song has been released.
Westlake HS football standouts headed to University of Texas
UT head football coach Steve Sarkisian landed Westlake running back Zane Minors and defensive back Michael Taaffe.
UT head football coach Steve Sarkisian landed Westlake running back Zane Minors and defensive back Michael Taaffe.
Committee report on 'Eyes of Texas' to be released at end of February
The committee was commissioned to chronicle the full history of the song to "better acknowledge, share and learn from the song’s history."
The committee was commissioned to chronicle the full history of the song to "better acknowledge, share and learn from the song’s history."
No. 1 Alabama wins national title 52-24 over No. 3 Ohio St
DeVonta Smith was uncoverable, Najee Harris unstoppable and Mac Jones impeccable. With a performance that was both surgical and explosive, No. 1 Alabama won the College Football Playoff national championship game 52-24 against No. 3 Ohio State on Monday night.
DeVonta Smith was uncoverable, Najee Harris unstoppable and Mac Jones impeccable. With a performance that was both surgical and explosive, No. 1 Alabama won the College Football Playoff national championship game 52-24 against No. 3 Ohio State on Monday night.
How to Win Big in the National Championship
The old adage states that there’s no such thing as a free lunch. Clearly, this wise one never played the "FOX Bet Super 6."
The old adage states that there’s no such thing as a free lunch. Clearly, this wise one never played the "FOX Bet Super 6."
Alabama's Smith becomes 1st WR to win Heisman in 29 years
Alabama's DeVonta Smith became the first wide receiver to win the Heisman Trophy in 29 seasons Tuesday night, breaking the monopoly quarterbacks have had on college football's most prestigious award by beating out three of them.
Alabama's DeVonta Smith became the first wide receiver to win the Heisman Trophy in 29 seasons Tuesday night, breaking the monopoly quarterbacks have had on college football's most prestigious award by beating out three of them.
Sam Ehlinger announces he's declaring for the NFL Draft
Texas quarterback Sam Ehlinger announced he's declaring for the 2021 NFL draft.
Texas quarterback Sam Ehlinger announced he's declaring for the 2021 NFL draft.
Texas Longhorns head coach Tom Herman let go after four seasons
Texas Longhorns football coach Tom Herman has been let go after four seasons.
Texas Longhorns football coach Tom Herman has been let go after four seasons.
Ohio State study: 30% of student athletes have heart damage linked to COVID-19
Researchers from Ohio State University found that 30% of more than two dozen student athletes who recovered from COVID-19 exhibited cellular heart damage, and 15% showed signs of heart inflammation.
Researchers from Ohio State University found that 30% of more than two dozen student athletes who recovered from COVID-19 exhibited cellular heart damage, and 15% showed signs of heart inflammation.
Ty Jordan, PAC-12 offensive freshman of the year, dies at 19
Utah Utes star running back Ty Jordan has died on Christmas Day, the school announced. He was 19.
Utah Utes star running back Ty Jordan has died on Christmas Day, the school announced. He was 19.
Gasparilla Bowl canceled after South Carolina pulls out due to COVID-19
The game in Tampa was scheduled for Saturday but the move by South Carolina left UAB without an opponent, forcing organizers to cancel.
The game in Tampa was scheduled for Saturday but the move by South Carolina left UAB without an opponent, forcing organizers to cancel.
CFP matchups: Alabama vs. Notre Dame; Clemson vs. Ohio State
Notre Dame will face No. 1 Alabama in the semifinals, while Clemson and Ohio State were paired in the CFP for the third time.
Notre Dame will face No. 1 Alabama in the semifinals, while Clemson and Ohio State were paired in the CFP for the third time.
CFP semifinal moved from Rose Bowl to AT&T Stadium in Arlington
The College Football Playoff semifinal scheduled to be played at the Rose Bowl is moving to the Dallas Cowboys' stadium in Arlington.
The College Football Playoff semifinal scheduled to be played at the Rose Bowl is moving to the Dallas Cowboys' stadium in Arlington.
AP source: Rose Bowl denied exemption to allow fans for CFP
The Rose Bowl was denied a special exemption from the state of California to allow a few hundred fans to attend the College Football Playoff semifinal on Jan. 1, putting the game staying in Pasadena in serious doubt.
The Rose Bowl was denied a special exemption from the state of California to allow a few hundred fans to attend the College Football Playoff semifinal on Jan. 1, putting the game staying in Pasadena in serious doubt.
Win big on College Football’s Championship weekend with FOX Super 6
The conference championship games offer a chance at $25,000.
The conference championship games offer a chance at $25,000.
Play Super 6 on the PAC-12 championship game
Guessing the results of Oregon-USC could win you $25,000.
Guessing the results of Oregon-USC could win you $25,000.
Oregon to replace Washington in Pac-12 football championship game against USC
The Pac-12 has decided to replace Washington with Oregon in the upcoming Pac-12 Football Championship Game against USC, officials announced on Monday.
The Pac-12 has decided to replace Washington with Oregon in the upcoming Pac-12 Football Championship Game against USC, officials announced on Monday.
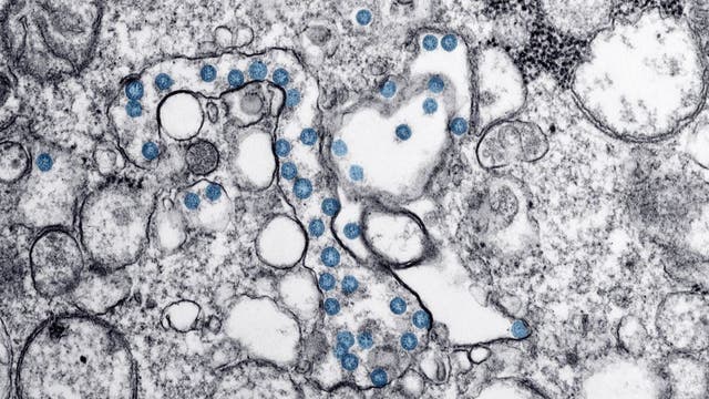
UT shuts down football operations after multiple positive COVID cases
Nine UT student-athletes and 13 staff members tested positive for COVID-19 this week. The shutdown means the 12/17 game against Kansas has been canceled.
Nine UT student-athletes and 13 staff members tested positive for COVID-19 this week. The shutdown means the 12/17 game against Kansas has been canceled.
Big questions to be answered on penultimate weekend of college football season
Texas Tech/Oklahoma State gets five game slate underway on FOX Networks.
Texas Tech/Oklahoma State gets five game slate underway on FOX Networks.
Longhorn fans say COVID-19 safety protocols were adequate this season
For the final home game of the season at DKR Texas Memorial Stadium, COVID-19 guidelines remained in place.
For the final home game of the season at DKR Texas Memorial Stadium, COVID-19 guidelines remained in place.



















